こんにちは!神戸中央らいおん歯科です😊今日は、お子さんの歯の色でよくご相談いただく「白いポツポツの正体」についてお話しします。
こちらの記事は神戸市中央区春日野道駅の近くにある神戸中央らいおん歯科が作成しています。歯に関するお役立ち情報も定期的に発信しております。診療のご予約は下記より受付しております。
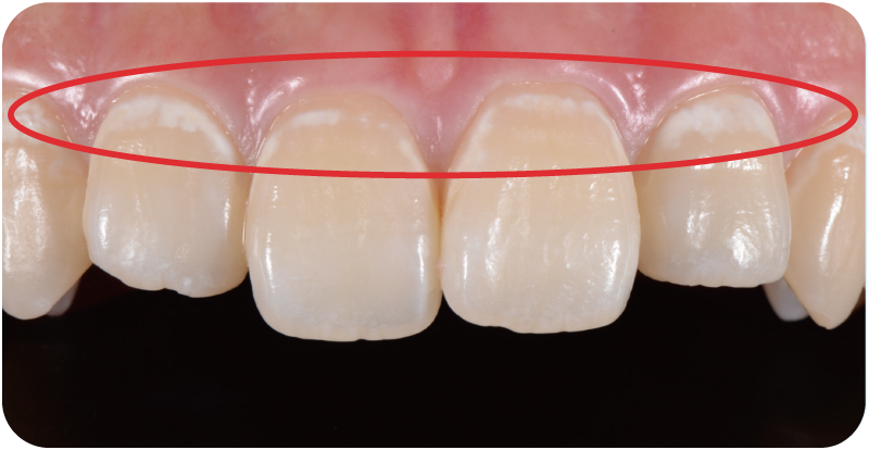
毎日お子さんのお口の中を観察している親御さんだからこそ、小さな色の違いに気づかれることも多いかと思います。お子さんの歯の白いポツポツ、何だろう?って心配になりますよね。
実はその「白さ」には、大きく分けて2つの原因が考えられます。
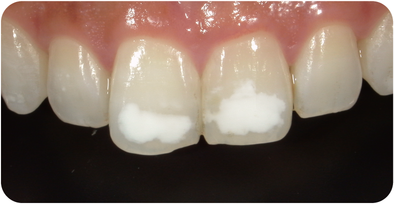
歯の白い斑点はホワイトスポットと呼ばれるもので、これができる理由は、主に「初期虫歯」と「エナメル質形成不全」のどちらかであることが多いんです。

ブラッシング不足による汚れ(プラーク)が原因で、歯の表面のミネラルが溶け出した状態です。虫歯リスク高い
虫歯と聞いてびっくりされるかもしれませんが、初期の虫歯は、まだ穴が開いていない「一歩手前」の状態です。 この段階で見つけることができれば、歯を削る必要はありません。 ただし、バイ菌が繁殖している状態ですので、丁寧なクリーニングと、お家でのブラッシング方法を見直すことで、歯を再石灰化(元の硬さに戻すこと)させて治すことができます。

出典:クインテッセンス出版株式会社 株式会社ヨシダ
口呼吸による乾燥で、エナメル質の再石灰化が不十分になり、白くなった状態です。虫歯リスク低い
年齢が小さい間は、エナメル質が溶けやすく、再石灰化を繰り返すことで、歯の白さを保っています。慢性的な口呼吸により、口腔内が乾燥してしまうと、その再石灰化が十分できずに、白く白濁したように見えます。これは虫歯のリスクは低い状態ですが、口呼吸の習慣を改善していくアプローチをする必要があります。また、アイコンなどを使った治療で、ミネラルの溶出を防ぎ、改善することができます。(自費診療)

出典:クインテッセンス出版株式会社 株式会社ヨシダ
歯が作られる段階で、表面のエナメル質がうまく作られなかった状態です。生まれつき歯が弱い状態なので、その子に合わせた特別なケアが必要です。
こちらは、歯が生えてくるまでの成長過程で、何らかの理由でバリア(エナメル質)が弱く作られてしまった状態です。 白っぽい場合もあれば、黄色や茶色い場合もあり、「歯みがきをサボったから」というわけではなく、体質や環境によるもの。この場合は、通常よりも虫歯になりやすく進行も早いため、「その子の歯の強さに合わせたオーダーメイドの守り方」を考える必要があります。

この一番外側の「エナメル質」が弱い状態です。

黄色や茶色の歯の変色で現れる場合もあります。
私たち神戸中央らいおん歯科は神戸市中央区旗塚通りにある歯医者です。小児〜一般まで診察をしております。「歯が痛い、しみる」「歯茎の腫れや出血がある」「詰め物・被せ物が外れた」など、緊急性の高い症状でお困りではありませんか。当院は救急対応をしていますので、まずはお電話でご相談ください。24時間受付のWEB予約も行っています。
「痛がっていないし、様子を見てもいいかな?」と思うかもしれませんが、実はちょっと注意が必要なんです。バリア機能が弱い歯や、初期虫歯の状態にはこんな特徴があるからです。

歯がやわらかいので、虫歯になると一気に進んでしまいます。
表面が少しデコボコしていることが多く、汚れが残りやすいです。
健康な歯に比べると、噛む力で少しずつ欠けてしまうこともあります。
私たち神戸中央らいおん歯科は神戸市中央区旗塚通りにある歯医者です。小児〜一般まで診察をしております。「痛みはないけれど、もしかして虫歯かな?」「歯周病チェックや歯石除去をしたい」「毎日の歯磨き、正しくできてる?」など、何か少しでも気になることがあれば、お気軽にご相談ください。24時間受付のWEB予約も行っています。
「これは虫歯なの?それとも体質なのかな?」 それを、ご家庭だけで判断するのはとっても難しいことです。
もし初期虫歯であれば、すぐに対策をすることで削らずに済みます。もしエナメル質形成不全であれば、将来まで健康な歯を残すための「特別な守り方」を一緒に考えていくことができます。
まずは「今の状態がどうなのか」を私たちプロの目でしっかり確認させてください。その子にぴったりのケア方法を、一緒に見つけていきましょう!

お子さんの歯に見える白い斑点や黄色い色は、歯からの「ちょっと守ってほしいな」というサインかもしれません。「これって本当に大丈夫?」「これからどうすればいいの?」と迷ったら、まずは定期検診のついでに、お気軽にお話しください。本格的な治療が必要になる前に、大切な歯を一緒に守っていきましょう!
私たち神戸中央らいおん歯科は神戸市中央区旗塚通りにある歯医者です。小児〜一般まで診察をしております。まずはお気軽にご相談ください。24時間受付のWEB予約も行っています。
インスタグラムで皆様の普段の生活の役に立つ情報を発信しています。ぜひフォローもお願いします!